L’angiopathie amyloïde cérébrale (AAC) est caractérisée histopathologiquement par la présence de fibrilles amyloïdes dans les vaisseaux cérébraux de petit à moyen calibre, généralement artériels. Ces fibrilles amyloïdes déclenchent des changements dégénératifs, ce qui détruit l’architecture des vaisseaux.
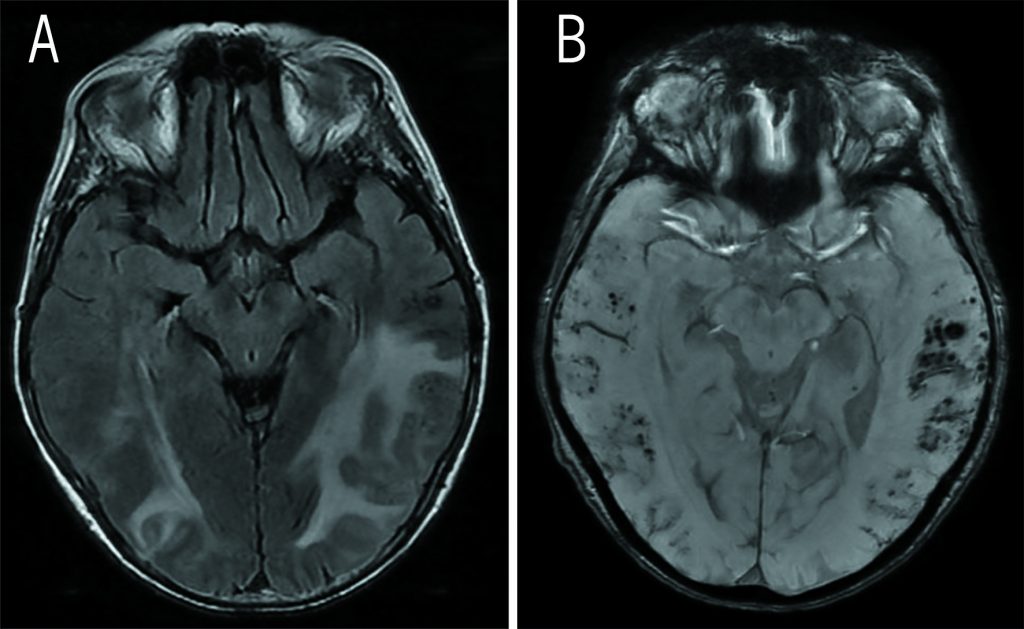
Les microhémorragies sont un marqueur d’une lésion cérébrovasculaire, qui se manifeste principalement dans les petits vaisseaux. Elles indiquent une tendance à l’hémorragie dans le cerveau et augmentent le risque d’hémorragie intracérébrale et d’accident vasculaire cérébral ischémique.
Qu’est-ce que l’ICB ? Hémorragie intracérébrale (ICB) Une hémorragie intracérébrale est une hémorragie dans le tissu cérébral. Les hémorragies intracérébrales sont souvent des hémorragies du rhexis. Par hémorragie du rhexis, les spécialistes désignent une hémorragie au cours de laquelle un vaisseau sanguin a soudainement éclaté ou s’est rompu.
Une hémorragie intracérébrale (ICB, du latin intra- ‘dans’ et cerebrum ‘cerveau’) est une hémorragie cérébrale dans le tissu cérébral lui-même. Les hémorragies intracérébrales surviennent généralement de manière soudaine. Une hémorragie cérébrale est une lésion hémorragique qui provoque les mêmes symptômes qu’un accident vasculaire cérébral (lésion ischémique).
Cliniquement, le diagnostic repose sur la présence radiologique d’hémorragies lobaires uniques ou multiples à la jonction cortex-moelle ou de micro-hémorragies cérébrales sans autre cause plus probable. La présence d’une angiopathie amyloïde cérébrale est considérée comme probable,… Quel est le point commun du dépôt d’amyloïde ?
En raison du caractère commun du dépôt d’amyloïde, l’ACA a été initialement considérée comme une caractéristique de la maladie d’Alzheimer. Dans les années 1970, on a pu montrer que des parois vasculaires ainsi modifiées jouaient un rôle dans de nombreuses hémorragies intracérébrales qui ne sont pas dues à une pression artérielle trop élevée.
Selon les hypothèses, ce sont en premier lieu les cellules nerveuses qui produisent la substance amyloïde. Chez les patients, cette substance s’accumule dans le liquide céphalorachidien, de sorte que des dépôts se forment progressivement dans les parois des vaisseaux sanguins cérébraux ou dans les tissus du cerveau.
La bêta-amyloïde est produite par le découpage de la protéine précurseur de l’amyloïde (APP) à l’aide des enzymes bêta- et gamma-sécrétase. Le métabolisme normal ne produit pas ces peptides, on pense que l’amyloïde est principalement produit dans les cellules nerveuses.
L’angiopathie amyloïde cérébrale (AAC) est caractérisée histopathologiquement par la présence de fibrilles amyloïdes dans les vaisseaux cérébraux de petit à moyen calibre, généralement artériels. Ces fibrilles amyloïdes déclenchent des changements dégénératifs, ce qui détruit l’architecture des vaisseaux.
Qu’est-ce qu’une micro-hémorragie cérébrale ?
Les microhémorragies sont un marqueur d’une lésion cérébrovasculaire, qui se manifeste principalement dans les petits vaisseaux. Elles indiquent une tendance à l’hémorragie dans le cerveau et augmentent le risque d’hémorragie intracérébrale et d’accident vasculaire cérébral ischémique.
Qu’est-ce que l’ICB ? Hémorragie intracérébrale (ICB) Une hémorragie intracérébrale est une hémorragie dans le tissu cérébral. Les hémorragies intracérébrales sont souvent des hémorragies du rhexis. Par hémorragie du rhexis, les spécialistes désignent une hémorragie au cours de laquelle un vaisseau sanguin a soudainement éclaté ou s’est rompu.
Topics en relation :
Comment reconnaître une hémorragie cérébrale ?
Les symptômes : Comment reconnaître une hémorragie cérébrale
paralysie aiguë. malaise général soudain et intense et faiblesse.
vertiges et troubles de la coordination soudains.
troubles soudains de la parole et de la sensibilité (Pronostic clinique et radiologique des formes inflammatoires d angiopathie amyloide cerebrale …).
des troubles visuels et respiratoires soudains.
perte de conscience aiguë et troubles de la conscience.
L’ICB est-il un accident vasculaire cérébral ?
Une hémorragie intracérébrale (ICB, du latin intra- ‘dans’ et cerebrum ‘cerveau’) est une hémorragie cérébrale dans le tissu cérébral lui-même. Les hémorragies intracérébrales surviennent généralement de manière soudaine. Une hémorragie cérébrale est une lésion hémorragique qui provoque les mêmes symptômes qu’un accident vasculaire cérébral (lésion ischémique).
Quel est le diagnostic de l’angiopathie amyloïde ?
Cliniquement, le diagnostic repose sur la présence radiologique d’hémorragies lobaires uniques ou multiples à la jonction cortex-moelle ou de micro-hémorragies cérébrales sans autre cause plus probable. La présence d’une angiopathie amyloïde cérébrale est considérée comme probable,… Quel est le point commun du dépôt d’amyloïde ?
En raison du caractère commun du dépôt d’amyloïde, l’ACA a été initialement considérée comme une caractéristique de la maladie d’Alzheimer. Dans les années 1970, on a pu montrer que des parois vasculaires ainsi modifiées jouaient un rôle dans de nombreuses hémorragies intracérébrales qui ne sont pas dues à une pression artérielle trop élevée.
Qu’est-ce que la substance amyloïde dans les cellules nerveuses ?
Selon les hypothèses, ce sont en premier lieu les cellules nerveuses qui produisent la substance amyloïde. Chez les patients, cette substance s’accumule dans le liquide céphalorachidien, de sorte que des dépôts se forment progressivement dans les parois des vaisseaux sanguins cérébraux ou dans les tissus du cerveau.
Comment se forme la bêta-amyloïde ?
La bêta-amyloïde est produite par le découpage de la protéine précurseur de l’amyloïde (APP) à l’aide des enzymes bêta- et gamma-sécrétase. Le métabolisme normal ne produit pas ces peptides, on pense que l’amyloïde est principalement produit dans les cellules nerveuses.