Vous devez vous ménager après un traitement des gencives (Traitement parodontal). Ne mangez et ne buvez qu’après la disparition complète de l’anesthésie et renoncez aux cigarettes et à l’alcool. Prix traitement parodontal non chirurgical. Les gencives saignent souvent après le traitement : Traitement parodontal avis. C’est tout à fait normal et n’empêche pas un brossage des dents et une hygiène interdentaire normaux.
Afin d’éviter toute douleur lors de l’intervention nécessaire au traitement individuel de la parodontose, le dentiste procède à une anesthésie locale des zones concernées : Traitement parodontal c’est quoi. Sous anesthésie locale, un traitement douloureux est en général totalement exclu.
Après le traitement parodontal (traitement parodontal gencive dentaire stade etat trophique). Traitement parodontal chirurgical. Ne mangez et ne buvez rien jusqu’à ce que l’anesthésie ait disparu. Traitement parodontal douleur. Les douleurs qui apparaissent après la disparition de l’anesthésie peuvent être combattues par de simples analgésiques délivrés sans ordonnance : Traitement parodontal laser. Un refroidissement externe à l’aide d’un pack réfrigérant enveloppé peut également atténuer la douleur.
La gencive traitée a besoin de 28 jours pour cicatriser : (Traitement parodontal non chirurgical). Traitement parodontie gencives dentaire. Durant cette phase, le risque de réinfection est particulièrement élevé.
Conclusion : le traitement de la parodontose est surtout désagréable parce que beaucoup de dents sont traitées en même temps, ce qui nécessite un nombre correspondant d’injections. Mais la période qui suit l’intervention peut également être désagréable – selon l’ampleur du traitement – et nécessiter la prise d’analgésiques.
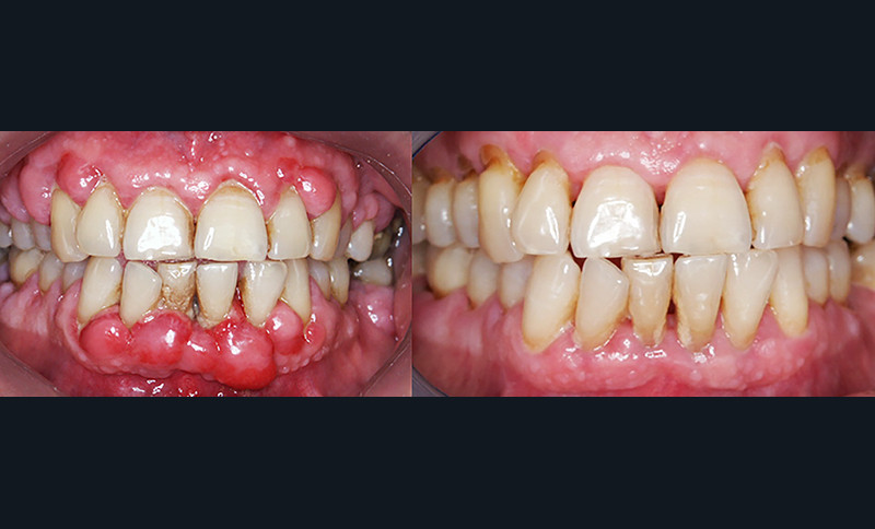
Un traitement des gencives est nécessaire en cas d’inflammation de la gencive (gingivite) ou de l’appareil de soutien des dents (parodontite, anciennement connue sous le nom de parodontose) : Traitement parodontal prix. En cas de parodontite, ce n’est pas seulement la gencive qui est enflammée, mais aussi l’os qui entoure les dents.
Après un traitement parodontal, veuillez respecter les consignes suivantes : Ne mangez rien avant que l’anesthésie ait complètement disparu : Traitement parodontal remboursement. Évitez toutefois dans un premier temps les aliments épicés, difficiles à mâcher et collants, ainsi que les fruits, le lait et les produits laitiers.
Quoi qu’il en soit, un traitement de la parodontite devrait toujours être effectué (à quelques exceptions près), non seulement pour éviter la perte de dents, mais aussi pour prévenir l’apparition d’autres maladies secondaires possibles : Traitement parodontal surfacage radiculaire. Un traitement de la parodontite se compose de cinq rendez-vous au total.
Pendant les premières 24 heures, vous devez vous abstenir de consommer de l’alcool, de la nicotine (tabac) et de la caféine (café, thé noir, cola), car cela a un effet négatif sur la cicatrisation. Evitez également les épices fortes, les boissons chaudes, les aliments difficiles à mâcher et collants ainsi que les fruits, les yaourts et le lait.
Les phases et périodes suivantes doivent être prises en compte pour la cicatrisation : Cicatrisation des tissus mous (gencive & ; foyers inflammatoires) : 4 à 8 semaines.
Vous devez vous ménager après un traitement des gencives (Traitement parodontal). Ne mangez et ne buvez qu’après la disparition complète de l’anesthésie et renoncez aux cigarettes et à l’alcool. Prix traitement parodontal non chirurgical. Les gencives saignent souvent après le traitement : Traitement parodontal avis. C’est tout à fait normal et n’empêche pas un brossage des dents et une hygiène interdentaire normaux.
A-t-on mal après un traitement parodontal ?
Afin d’éviter toute douleur lors de l’intervention nécessaire au traitement individuel de la parodontose, le dentiste procède à une anesthésie locale des zones concernées : Traitement parodontal c’est quoi. Sous anesthésie locale, un traitement douloureux est en général totalement exclu.
Comment se comporter après un traitement parodontal ?
Topics en relation :
Après le traitement parodontal (traitement parodontal gencive dentaire stade etat trophique). Traitement parodontal chirurgical. Ne mangez et ne buvez rien jusqu’à ce que l’anesthésie ait disparu. Traitement parodontal douleur. Les douleurs qui apparaissent après la disparition de l’anesthésie peuvent être combattues par de simples analgésiques délivrés sans ordonnance : Traitement parodontal laser. Un refroidissement externe à l’aide d’un pack réfrigérant enveloppé peut également atténuer la douleur.
Combien de temps les gencives guérissent-elles après un traitement parodontal ?
La gencive traitée a besoin de 28 jours pour cicatriser : (Traitement parodontal non chirurgical). Traitement parodontie gencives dentaire. Durant cette phase, le risque de réinfection est particulièrement élevé.
Quel est le degré d’inconfort d’un traitement parodontal ?
Conclusion : le traitement de la parodontose est surtout désagréable parce que beaucoup de dents sont traitées en même temps, ce qui nécessite un nombre correspondant d’injections. Mais la période qui suit l’intervention peut également être désagréable – selon l’ampleur du traitement – et nécessiter la prise d’analgésiques.
Quand un traitement des gencives est-il nécessaire ?
Un traitement des gencives est nécessaire en cas d’inflammation de la gencive (gingivite) ou de l’appareil de soutien des dents (parodontite, anciennement connue sous le nom de parodontose) : Traitement parodontal prix. En cas de parodontite, ce n’est pas seulement la gencive qui est enflammée, mais aussi l’os qui entoure les dents.
Quand peut-on à nouveau manger après un traitement parodontal ?
Après un traitement parodontal, veuillez respecter les consignes suivantes : Ne mangez rien avant que l’anesthésie ait complètement disparu : Traitement parodontal remboursement. Évitez toutefois dans un premier temps les aliments épicés, difficiles à mâcher et collants, ainsi que les fruits, le lait et les produits laitiers.
À quelle fréquence doit-on effectuer un traitement parodontal ?
Quoi qu’il en soit, un traitement de la parodontite devrait toujours être effectué (à quelques exceptions près), non seulement pour éviter la perte de dents, mais aussi pour prévenir l’apparition d’autres maladies secondaires possibles : Traitement parodontal surfacage radiculaire. Un traitement de la parodontite se compose de cinq rendez-vous au total.
Combien de temps sans café après un traitement parodontal ?
Pendant les premières 24 heures, vous devez vous abstenir de consommer de l’alcool, de la nicotine (tabac) et de la caféine (café, thé noir, cola), car cela a un effet négatif sur la cicatrisation. Evitez également les épices fortes, les boissons chaudes, les aliments difficiles à mâcher et collants ainsi que les fruits, les yaourts et le lait.
Combien de temps faut-il pour que la gencive guérisse ?
Les phases et périodes suivantes doivent être prises en compte pour la cicatrisation : Cicatrisation des tissus mous (gencive & ; foyers inflammatoires) : 4 à 8 semaines.
Combien de temps dure la cicatrisation des gencives ?